전두측두엽 치매(Frontotemporal Dementia, FTD)는 우리가 흔히 아는 알츠하이머나 혈관성 치매와는 조금 다른 병이에요.
기억력이 아닌 성격, 행동, 말하기 능력이 먼저 변한다는 점에서 매우 독특하죠.
최근 배우 브루스 윌리스가 이 병을 앓고 있다는 소식이 알려지면서, 전 세계인의 관심이 쏠렸어요.
오늘은 이 병이 어떤 병인지, 그리고 알츠하이머나 혈관성 치매와는 무엇이 다른지 아주 쉽게 알려드릴게요.

1. 전두측두엽 치매란 어떤 병인가요?


① 뇌 앞부분에 문제가 생기는 치매예요
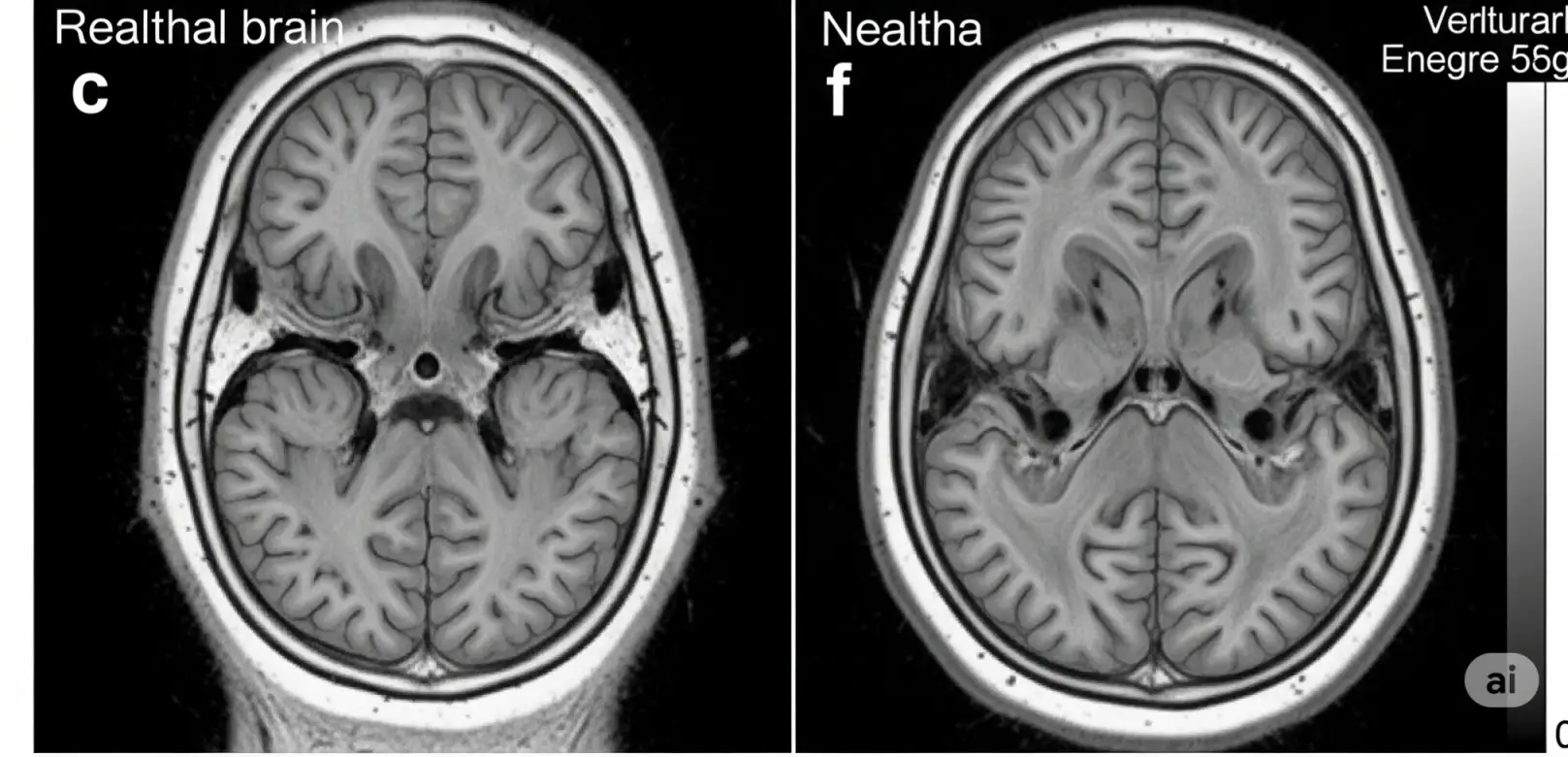
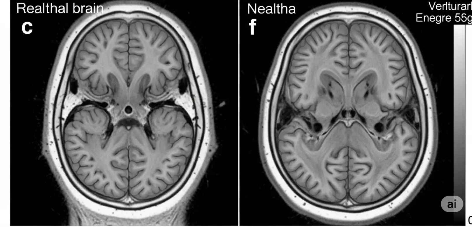
전두엽과 측두엽은 감정, 언어, 판단력을 담당하는 뇌의 앞쪽 부분이에요.
이 부위에 신경세포가 죽거나 위축되면, 말이 어눌해지고 성격이 바뀌고, 감정 표현도 둔해지죠.
② 흔한 치매와 달리 ‘기억’은 비교적 오래 유지돼요
알츠하이머는 기억력 저하가 가장 먼저 나타나지만, FTD는 말과 행동이 먼저 이상해져요.
그래서 초기에 ‘치매 같다’는 생각을 못하고, 오히려 우울증이나 성격 문제로 오해받기도 해요.
③ 주로 40~60대, 젊은 나이에 시작돼요
치매 하면 보통 노인을 떠올리죠?
그런데 FTD는 50대 전후의 중년층에서 많이 발병해요.
브루스 윌리스도 60대 초반에 진단받았어요.
④ 유전적인 원인도 꽤 많아요
전체 FTD 환자의 약 30~40%는 가족력이 있어요.
또, 타우(tau)나 TDP-43이라는 비정상 단백질이 쌓이면서 뇌세포가 손상되기도 해요.

2. 다른 치매들과 뭐가 다를까요?
아래 표를 보면 더 쉽게 비교할 수 있어요.
| 구분 | 전두측두엽 치매 | 알츠하이머병 | 혈관성 치매 |
| 초기 증상 | 성격 변화, 언어장애 | 기억력 저하 | 인지 저하, 신체 마비 |
| 발병 시기 | 40~60대 | 65세 이상 | 60세 이상 |
| 기억력 | 초기엔 유지됨 | 심하게 손상 | 사람마다 다름 |
| 운동 장애 | 후기에 나타남 | 후기 가능 | 초기에 마비 가능 |
3. 브루스 윌리스는 어떤 상태인가요?
① 말이 거의 안 나오고 있어요
브루스 윌리스는 처음엔 ‘실어증’ 진단을 받았어요.
지금은 거의 말을 하지 못하고, 읽기와 쓰기도 어려운 상태라고 해요.
② 걸음도 어려워졌다고 해요
전두엽이 심하게 위축되면서 보행에도 문제가 생겼어요.
운동 기능 저하까지 나타나는 건 병이 꽤 진행되었다는 뜻이에요.
③ 예전 기억도 흐릿해졌어요
최근에는 영화 활동을 기억하지 못한다는 보도도 있었어요.
‘다이하드’나 ‘식스 센스’ 시절의 기억도 가물가물하다는 거죠.
4. 치료는 가능한가요?
① 완치는 아직 어렵지만…
현재로선 완치 방법은 없어요.
하지만 약물로 행동 변화나 우울증 증상을 조절할 수 있고,
전문적인 인지 치료와 가족의 돌봄이 큰 힘이 돼요.
② 평균 생존 기간은?
- 증상 시작 후 평균 6~11년
- 진단 이후 3~4년 정도 생존하는 것으로 알려졌어요.
물론 개인에 따라 다를 수 있어요.

마무리: 꼭 알아두세요!
전두측두엽 치매는 성격이 갑자기 바뀌거나 말이 어눌해질 때 의심해야 하는 치매예요.
특히 50대 전후에 증상이 나타난다면 조기 진단이 정말 중요해요.
단순한 우울증이나 성격 문제로 여기지 말고, 꼭 전문가의 진료를 받아보세요.
브루스 윌리스의 사례는 이 병에 대한 인식을 높이는 계기가 되고 있어요.
우리도 가족과 이웃을 잘 살펴보고, 빠르게 대응할 수 있는 정보력을 갖추면 좋겠죠?
'3. 건강관리' 카테고리의 다른 글
| 황반변성 주사 비용|건강보험·실비보험 적용으로 치료비 절반 줄이는 법 (0) | 2025.08.06 |
|---|---|
| 겨드랑이 미백 꿀팁|색소침착 원인부터 크림 추천까지 (0) | 2025.08.04 |
| AI와 함께하는 갱년기·화병·외로움 극복법 | 바로 활용가능한 명령어 모음 (0) | 2025.08.01 |
| 간헐적 단식을 하지 말아야 할 경우|숨은 위험군 총정리 (0) | 2025.07.31 |
| 햇빛 알레르기 증상부터 치료까지|여름철 광알레르기 완전 정복 (0) | 2025.07.20 |
| 더위에 예민한 반려묘, 이대로 괜찮을까? | 여름철 스트레스 해소법 총정리 (0) | 2025.07.13 |
| 위고비 없이 식욕 잡는 다이어트 음식 5가지 | GLP-1효과 (0) | 2025.07.01 |
| 모공각화증 색소침착 없애는 법: 붉은 자국 홈케어 팁 (0) | 2025.06.27 |